インプラント
不意に撮られた写真に、
白い歯の自分がいると自信が湧く。

1インプラントとは
ひとことポイント
周りの歯に負担をかけず、美しい口元へ
人工歯で綺麗に永続的は歯へ
インプラントとは、歯を失った際に選択される治療方法のひとつ。顎の骨に土台となる人工歯根を埋め込み、その上に人工歯を取り付けます。他の治療法に比べ治療後の見た目が美しく、咀嚼能力に優れており、周りの健康な歯に負担をかけにくいなどのメリットがあります。当院では、総入れ歯の方には安定させるためのマグネットを埋め込むことで費用やリスクを抑えるなど、患者に合わせた治療を提案をしています。
正確で精密な検査・診断

インプラント治療において一番重要なポイントは診断と治療計画です。治療の可否を含め適した治療を共に考えていく事が非常に大事です。当院はCT完備しておりますので院内で診断が完結します。
理想的な治療方針の選択

治療計画は医学的な側面からの提案が主になります。しかしながらこの様にしたいという願望や希望を掬いとる事も治療後の満足度を含めて大切にしているポイントです。
歯科医師の高い技術、経験と知識

当院はインプラント治療経験豊富なドクターらが揃っております。また、補綴学的側面から必ずしもインプラントに頼らない提案が出来るのも当院の強みであります。
2どんな方におすすめ?
- 歯並びがガタガタしている
- 歯と歯の隙間が気になる
- 歯間乳頭が下がっている
- 横からの見え方が気になる
- 接客業で人からの目線が気になる
しっかり噛めるようになりたい
- 1

- 2

- 3

- 4

入れ歯を安定させたい
- 1

- 2

- 3

3インプラントのメリット・デメリット
- 他の歯に負担をかけにくい
- 天然歯のように噛み心地が良い
- 入れ歯のような異物感がない
- 天然の歯に近い審美性となる
- 歯が1本~数本欠損している場合でも、全部欠損している場合でも治療の適応となる
- 手術が必要
- 保険適用外
- 治療期間が長い
- 骨が少ない場合、骨造成治療が必要になる
- 全身疾患により、手術が難しい場合がある
お客様に合わせてご案内しています
費用や期間など、お客様の状態に合わせて適切なインプラント治療を選ぶことが大切です。
それぞれメリット・デメリットございますので、まずはご相談ください。
部分入れ歯を長い間御使いになっていた患者様です。骨レベルや不適応な場合以外はインプラント治療は非常に有用な治療である事は疑う余地がありません。お気軽に御相談下さい。
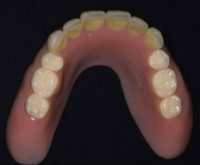
インプラントにマグネットのキャップ付けたタイプの総入れ歯です。マグネットの磁力によって入れ歯の安定性が高まります。
4診察の流れ
-
初回来院時
カウンセリング、口腔内診査、レントゲン撮影
-
カウンセリング、CT撮影
-
ご説明
CT撮影後の治療計画の説明
-
一時手術
-
2、3ヶ月後:二次手術
骨との結合の待機期間は症例により異なります。
-
1、2週間後:型取り
個人差があるため、仕上がり状態によって追加で治療を継続する場合もございます。
-
7〜10日後:人工歯の完成、装着
素材などにより納期は前後します。
-
3〜6ヶ月:アフターメンテナンス
3〜6ヶ月毎に定期的にチェックいたします。
5料金
1本当たりのインプラント費用・詳細
| 項目 | 料金 |
|---|---|
| インプラント(人工歯根) | 200,000〜250,000円 |
| 人工歯 | 50,000〜150,000円 |
| 仮歯 | (必要な場合)20,000円 |
| アパットメント | 50,000〜100,000円 |
| 手術費用 | 0〜80,000円 |
| 手術費用合計 | 320,000〜500,000円 |
例:インプラントの治療費用(1本)39万円のケース
| 項目 | 料金 |
|---|---|
| インプラント(人工歯根) | 250,000円 |
| 人工歯 | 90,000円 |
| 仮歯 | 0円 |
| アパットメント | 50,000円 |
| 手術費用 | 0円 |
| 手術費用合計 | 390,000円 |
例:オールオン4費用(上顎)201万円のケース
| 項目 | 料金 |
|---|---|
| インプラント(人工歯根) | 250,000円×4= 1,000,000円 |
| 人工歯 | 600,000円 |
| 仮歯 | 130,000円 |
| アパットメント | 70,000円×4= 280,000円 |
| 手術費用 | 0円 |
| 手術費用合計 | 2,010,000円 |
- 1本当たりのインプラント費用:30万円〜50万円(税別)
- ※歯の状態によって金額が違ってくる場合があります。
- ※下記の金額は、すべて税抜き金額となっています。
6Q & A
インプラントの痛みや腫れはありますか
麻酔をかけるため、骨を削って抜くようなものよりも痛みや腫れはほとんど感じられません。
腫れは手術後二日目がピークで、後は段々と落ち着いていき、約一週間後には腫れは元に戻っていきます。また手術後の腫れは身体の自然な反応ですので心配される必要はありません。
インプラントの寿命はありますか?
骨や歯肉の状態、メンテナンスを続けているかなどの条件にはよりますが、一般的に10年残存率90%以上なため、入れ歯やブリッチと比較して長期使用が可能です。
メンテナンスや保証はありますか?
メンテナンスは施術後、3〜6ヶ月毎、定期的にチェックをさせていただいております。
保証は年数とインプラントの破損や脱落の原因によって異なり、自損(事故による破損など)以外は保証される場合が多いです。
若い人でもインプラントにする人はいますか?年齢制限はありますか?
最低16歳以上(骨の成長がほぼ終了)で、医学的、解剖学的に条件が満たされている限り、どなたでも治療を受けることができます。年齢の上限はありません。
インプラントの治療はどのくらいの期間通いますか?
骨の中に埋め込んだインプラントが、骨としっかり結合するのを待つ期間が必要です。治療開始から人工歯がはいるまで、4~6ヶ月かかります。
インプラント治療終了後に起きる可能性があるトラブルは?
義歯の破折(義歯の一部が欠けること)、脱落、義歯やアバットメント(インプラントと義歯の間の部品)の固定部品の緩みが起きることがあります。 また、インプラント周囲に細菌が感染(インプラント周囲粘膜炎あるいはインプラント周囲炎)することがあります。
インプラント周囲粘膜炎はインプラント周囲の粘膜に限局した病変ですが、インプラント周囲炎はインプラント周囲の骨の吸収をともなう病変です。
インプラント周囲炎はインプラントの喪失に繋がりますので注意が必要です。
これらの問題を予防するためには、患者さん自身がおこなう日常の口腔清掃が重要です。
さらに、患者さん自身が治療部位を含めて日頃から口腔内の状況に関心を持ち、もしも異変がある場合には、治療を受けた歯科医(歯科医院)を直ちに受診することが重要です。
治療後の経過が順調な場合も、治療を担当した歯科医(歯科医院)の定期的な経過観察(メンテナンス)を受けることを忘れないでください。
インプラント治療は誰でも受けることができるのでしょうか?
手術を伴う治療であると同時に、治療終了後も十分なケアが必要なことから、 高血圧症や心臓疾患等の循環器系疾患、喘息等の呼吸器系疾患、糖尿病や骨粗鬆症等の疾患、腎臓や肝臓の機能障害がある場合には注意が必要です。
また、服用中の薬によっては、インプラント治療が適さないこともあります。
インプラント治療を担当する歯科医師から、全身状態や服薬状態について聞かれた場合には、正確に答えてください。
インプラント埋入予定部位に充分な骨が存在しない場合には、インプラント治療をおこなうことが困難です。
インプラント埋入手術の前、あるいは埋入手術と同時に骨を造るための手術を経てインプラント治療を行うことは可能ですが、患者さんの負担が増加します。
さらに、歯周病に罹患している患者さんや喫煙される患者さんにおいては、治療後のインプラントの残存率(寿命)が低いことが知られています。
歯周病に罹患している場合は歯周病の治療を優先しておこない、喫煙されている場合は減煙あるいは禁煙してから、インプラント治療を受けることをお勧めします。